AI-Powered Tools Revolutionizing Cancer Detection
Share

What if I told you that in the coming time, future and early cancer detection would be possible and easier!
Over the years, Artificial Intelligence (AI) has been emerging and making its presence felt in various fields, from technology to education. But Health can be classified as the major sector in which AI has done a significant job. Particularly, AI-powered tools have revolutionized the treatment of cancer, which includes its early detection.
At a recent conference conducted at Delhis International Centre of Genetic Engineering and Biotechnology (ICGEB), scientists discussed the growing role of Artificial Intelligence (AI). The event showcased the developments in using AI and ML (machine learning), for predictive modeling, analyzing genomic data and precision oncology.

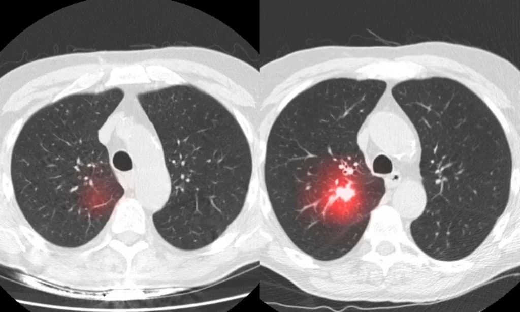
Researchers at Mass General Cancer Center and MIT (Massachusetts Institute of Technology) developed and tested an AI tool called Sybil. Sybil is trained in low-dose chest CT scans and is designed for individuals aged 50 to 80 years who have a significant smoking history or are smokers at present.
When it came to lung cancer screening, Sybil demonstrated the ability to evaluate pictures and precisely predict a patients risk of developing the disease during the next six years.

Just like Sybil, MIT has also discovered another AI powered tool named Mirai, to detect early breast cancer.
The model diagnosed a sizeable collection of screening mammograms (an X-ray image to detect the presence of tumor lump), from Massachusetts General Hospital (MGH). It was on patients from Emory, Karolinska in Sweden, Chang Gung Memorial in Taiwan.
Researchers demonstrated that it could detect breast cancer earlier than yearly screenings while needing 25% fewer mammograms at Karolinska, using the risk-assessment tool Mirai. The integration of such AI powered tools can change the whole scenario of cancer diagnosis. Early detections or future detections can save lives and provide better treatments.
Newsletter
Stay up to date with all the latest News that affects you in politics, finance and more.